Mammogram reports sent to women often mention breast density Your health care provider can also tell you if your mammogram shows that you have dense breasts In some states, women whose mammograms show heterogeneously dense or extremely dense breasts must be told that they have dense breasts in the summary of the mammogram report that is sent to patients heterogeneously dense breast tissue (5175% glandular) extremely dense (>75% glandular) Breast density is subjective Different radiologists may give the same mammogram different ratings Use of computerized density measurement could alleviate interobserver variability, but there is not yet a standardized computer rating system For the purposes of the law, dense Heterogeneously dense breasts is a term used in mammography to describe breasts with a higher percentage of glandular and supportive tissue than fat It occurs in 40% of women and while normal, can make it more difficult to detect breast cancer on mammography Dr Margaret Polaneczky explains that, under this classification, the breast composition measures

Breast Density What S All The Fuss About The Medical Republic
What does breast parenchyma is heterogeneously dense mean
What does breast parenchyma is heterogeneously dense mean-Showing posts with label denseShow all posts Monday, Breast Parenchyma Is Heterogeneously DenseIt is believed to be normal and passed on genetically More than 25% of women have dense breast parenchyma with no higher risk of developing breast cancer A more than usual density of breast parenchyma just means that mammograms might be a bit more difficult for doctors to interpret because the dense tissue sometimes looks like suspicious masses But there is no reason to jump to negative conclusions about dense breast parenchyma




Mammographic Density And Screening Breast Health And Awareness Breast Cancer Network Australia
Mammogram Question 40 years old and had mammogram This is what the report says Breast parenchyma is heterogeneously dense Focal asymmetry seen in upper central right breast which cannot be confirmed as stable Additionally, an asymmetry in the superior right breast, posterior depth which appears more prominent when compared to prior studies Dense breast tissue is a normal finding, and about half of all women have dense breast tissue If you have dense breast tissue, this means you have a higher proportion of glandular breast tissue to fatty tissue Having dense breast tissue can make it more difficult to see breast cancer on a mammogram Dense tissue appears white on a mammogram while fatty tissue appears black Breast One of the main problems with dense breast tissue is that it shows up as white on mammogram images Fatty breast tissue looks black in images Unfortunately, signs of breast cancer like tumors or calcifications also appear white in mammograms, making it difficult for doctors to detect abnormalities Additional breast screening techniques may be required to get a true picture of your breast
The normal breast31 The breast parenchyma, mammographic technique, and visibility of the mammary structuresSurrounding the glandular elements, lobules and mammary ducts, the connective tissue is made of two different elements a tissue poor in collagen fibres (tissue of the "mantle") which is subjected to important physiologic changes and a denseThe breast tissue is heterogeneously dense, which could obscure detection of small masses (approximately 51% 75% glandular) 4 Dense breasts occur when a woman has a high ratio of ligaments and glands compared to fat in her breasts If a woman has a high ratio of fat compared to everything else, the breasts are considered to be "fatty" "While younger women tend to have denser breasts, breast density is largely determined by your genetics," says Dr Campbell
Breast lesions are not easily discernible in these areas since dense tissue and tumors both look white on film Understanding how dense breasts affect cancer risk remains a problem of standardization, said Celia Byrne, PhD, Harvard Medical School, Cambridge, Mass No one method of measuring breast density has been agreed upon The 21 edition of ICD10CM N64 became effective on This is the American ICD10CM version of N64 other international versions of ICD10 N64 may differ Single or multiple, milkcontaining nodules in the breast It is caused by obstruction of the breast ducts during lactation Breast Parenchyma Is Heterogeneously Dense Yes a homogeneously dense breast on mammogram or ultrasound usually means that nothing is standing out suspiciously This can make it hard to see small tumors in or around the dense tissue Your Patient Got A Dense Breast Notification With Her Mammogram Report What Are You Supposed To Do Christianacare News




Example Images Of The Four Breast Density Composition Categories Download Scientific Diagram




Appearance Of The Breast Parenchyma In A 40 Year Old Woman A Download Scientific Diagram
According to the National Cancer Institute, nearly 50% of all women age 40 and older have dense breasts Like Joan, many women don't know whether they have dense breasts or what that means Knowing whether you have dense breasts is important because women with dense breasts have a higher risk of developing breast cancer, and often needYes Yes, a homogeneously dense breast on mammogram or ultrasound usually means that nothing is standing out suspiciously 49k views Answered >2 years ago Thank 1 thank Ask US doctors your own question and get educational, text answers — it's anonymous and free!More of the breast is made of dense glandular and fibrous tissue (described as heterogeneously dense), Dense breast tissue What it means to have dense breasts Dense breast tissue refers to the appearance of breast tissue on a mammogram, women with dense breasts have a higher risk of breast cancer than women with fatty breasts, This increased risk is separate from the effect of dense




Imaging Breast Density Established And Emerging Modalities Sciencedirect




Ge Healthcare Quick Facts About Breast Density
Class B (or 2) Scattered fibroglandular density; Dense or extremely dense tissue The breast tissue is dense throughout The FDA also state that around 50% of women in the US have dense breasts People with denseWomen with the densest breasts were selected for visual interpretation of parenchymal pattern (PP) One hundred nonassessed women, aged 50, 55, 60, 65 and 6971 years (total = 500), provided controls Cases included women recalled for assessment (mastectomy or implants excluded) (total = 280)




Using A Wavelet Based And Fine Tuned Convolutional Neural Network For Classification Of Breast Density In Mammographic Images




Understanding Scattered Fibroglandular Breast Tissue
D Extremely dense indicates that nearly all of the breast tissue is dense About 1 in 10 women has this result In general, women with breasts that are classified as heterogeneously dense or extremely dense are considered to have dense breasts About half of women undergoing mammograms have dense breasts The breasts are heterogeneously dense, which may obscure small masses (breast composition category c) (Patients in categories c and d may qualify for supplemental screening exams) The tissue undergoes marked background enhancement, increased from priorThe degree of normal fibroglandular tissue that enhances on breast MRI, known as background parenchymal enhancement (BPE), was initially described as an incidental finding that could affect interpretation performance While BPE is now established to be a physiologic phenomenon that is affected by both endogenous and exogenous hormone levels, evidence supporting the notion that BPE frequently masks breast



Epos Trade



Digital Breast Tomosynthesis A State Of The Art Review
Dr T Bear Doctor of Medicine 2,325 satisfied customers The breasts are heterogeneously dense, which may obscure The breasts are heterogeneously dense, which may obscure small masses (breast composition category c) (Patients in categories c and d may read moreThis article describes the historical classifications of breast density See the main article on breast density for the currently accepted BIRADS descriptors Classification Pioneers in classification of density include Leborgne in 1953 and Wolfe in 1967, who described an increased risk of breast cancer in radiographically dense breastHeterogeneously dense breast tissue (HEHtehrohJEEneeuslee dents brest TIHshoo) A term used to describe breast tissue that has large areas of dense fibrous tissue and glandular tissue



View Of Contrast Enhanced Spectral Mammography A Radiologic Pathologic Perspective Of A Novel Functional Imaging Modality For Breast Cancer Pjp




Fibroglandular Densities Mammographic Breast Density Itn
Newer technology known as digital breast tomosynthesis (DBT), sometimes called threedimensional (3D) mammography, appears to be more accurate than traditional 2D mammography for women with heterogeneously dense breasts Like traditional mammography, 3D mammography takes two views of each breast, but then creates images of thin slices of the breast tissue for the radiologist to read These slices are somewhat like a CT scan result, showing slivers of the breastThis means that you have moderately dense tissue, which is common and not a cause for concernBreast Parenchyma/Heterogenously dense Lilly1313 I just received the results of a mammogram and the findings state the following "The breast parenchyma is heterogenously dense There is a 12mm nodule in the upper inner quadrant of the right breast The border appears well defined, however is partially obscured




Breast Density And Breast Cancer Risk A Practical Review Mayo Clinic Proceedings




Clarisigmam Ai Powered Breast Density Measurement Solution
A woman whose breast tissue is primarily fatty replaced will have a mammogram that looks more dark There are 4 categories of breast density (also called a density score) that a radiologist uses for describing a patient's mammogram Class A (or 1) Fatty; The breasts are heterogeneously dense, which may obscure small masses;" or "d The breast are extremely dense, which lowers the sensitivity of mammography" (9) This categorization system is designed to convey when mammographic sensitivity may be decreased (9)Class C (or 3) Heterogeneously dense




Radiation Dose In Mammography Article Medical Professionals




Diagnostics Free Full Text Qualitative Versus Quantitative Mammographic Breast Density Assessment Applications For The Us And Abroad Html
Lumps, both benign and cancerous, also appear white So, mammograms can be less accurate in women with dense breasts If a woman's mammogram shows she has heterogeneously dense or extremely dense breast tissue, sheIII The breast is heterogeneously dense This may lower the sensitivity of mammography IV The breast tissue is extremely dense, which could obscure a lesion in mammography Examples of these breast types are shown in Figure 1 Other pattern classifications include the sixcategory classification (SCC)There are four descriptors for breast density on mammography in the 5 th edition of BIRADS 1,2 a the breasts are almost entirely fatty b there are scattered areas of fibroglandular density c the breasts are heterogeneously dense, which may obscure small masses d the breasts are extremely dense, which lowers the sensitivity of mammography




Mri Background Parenchymal Enhancement Fibroglandular Tissue And Mammographic Breast Density In Patients With Invasive Lobular Breast Cancer On Adjuvant Endocrine Hormonal Treatment Associations With Survival Breast Cancer Research Full Text




Breast Density And Breast Cancer Risk A Practical Review Mayo Clinic Proceedings
a The breast are almost entirely fatty Mammography is highly sensitive in this setting b There are scattered areas of fibroglandular density The term density describes the degree of xray attenuation of breast tissue but not discrete mammographic findings c The breasts are heterogeneously dense, which may obscure small massesA few areas of dense tissue are scattered through the breasts (about 40% of women) The breasts are evenly dense throughout (about 40% of women) The breasts are extremely dense (about 10% of women) Women in the first two categories are said to have lowdensity, nondense, or fatty breasts Women in the second two categories are said to have highdensity or dense breasts About half of women who are 40 years old or older have dense Qualitative measures include the Wolfe grade (N 1, normal fatty breast;




How Dense Are You Dennis R Holmes M D F A C S Breast Cancer Surgeon




Comparative Study Between Contrast Enhanced Mammography Tomosynthesis And Breast Ultrasound As Complementary Techniques To Mammography In Dense Breast Parenchyma Egyptian Journal Of Radiology And Nuclear Medicine Full Text
Fibroglandular density refers to scattered areas of density in the breast, which is normal tissue seen in combination with fat My mammogram described my breasts as being "heterogeneously dense, which may obscure small masses" What does that mean? Heterogeneously dense Most of the breast is dense tissue with some areas of fat Extremely dense The breasts have almost no fatty tissue Women over age 40 are about evenly split between havingThere is often a fine line between density categories, especially what is described as "scattered fibroglandular density" (which is 2550% dense breast tissue and is considered NOT dense) and "heterogeneously dense" (which is >5075% dense breast tissue and IS considered dense) This may also be why there was a change in your report and can be quite subjective based on the



Www Health Gov Au Sites Default Files Documents 19 09 Breast Density Literature Review 1 Pdf




Update On New Technologies In Digital Mammography Ijwh
Breast cancers are readily seen in fatty tissue with up to 98% sensitivity in film mammographyDense breast tissue itself is a risk factor for breast cancer, with the risk 46 fold higher in women Heterogeneously dense indicates that some areas of nondense tissue were found, but the majority of the breast tissue is dense About 40 percent women have this result Extremely dense indicates that nearly all the breast tissue is dense Breasts can be almost entirely fatty (A), have scattered areas of dense fibroglandular breast tissue (B), have many areas of glandular and connective tissue , or be extremely dense (D) Breasts are classified as "dense" if they fall in the heterogeneously dense or extremely dense (D) categories




Mammographic Density Changes In Surgical Weight Loss An Indication For Personalized Screening Bmc Medical Imaging Full Text




Breast Density What S All The Fuss About The Medical Republic
Specialists term the breast tissue in type 3 as 'heterogeneously dense' The parenchyma ranges from 51% to 75% of the breast tissue 'Heterogeneous' means something contains many different items and has many different variations The Breast DensityBreast Cancer Connection In 1976, John Wolfe proposed a fourtiered classification of mammographic breast parenchymal patterns, after he had noticed a strong association between parenchymal pattern and breast cancer risk The more complex (and generally denser) the parenchyma, the higher the risk of subsequent breast cancerThe breast tissue is heterogeneously dense, which may obscure small masses (40% of women) The breast tissue is extremely dense This may lower the sensitivity of mammography (10% of women) Approximately 50% of women undergoing screening mammography are classified as having either "heterogeneously dense" or "extremely dense" breasts A letter is sent to all Spectrum Health



2




Dense Breast Tissue And Breast Cancer Risk
Dense breasts also make it more difficult for doctors to spot cancer on mammograms Dense tissue appears white on a mammogram; Specializes in Obstetrics and Gynecology Mammography Current methods of early detection of breast cancer, specifically mammography, don't detect suspicious lumps in heterogenously dense breast tissue as well as in breast with normal tissue density 805 views Answered >2 years agoP 1 and P 2, prominent ducts occupying




Breast Density Radiology Reference Article Radiopaedia Org




Dense Breast Tissue What It Means To Have Dense Breasts Mayo Clinic
The fact that Wolfe classification depends on percentages of the breast with dense parenchyma implies that, in this system, an association with breast size is inevitable An interesting point is whether it is possible to determine a measure of parenchymal density that is independent of body habitus (anthropometric measures) and breast size In our study, current and extended use




Your Patient Got A Dense Breast Notification With Her Mammogram Report What Are You Supposed To Do Christianacare News




The Four Breast Parenchymal Patterns Notes A Fatty B Scattered Download Scientific Diagram




Breast Density Explained Imaging Technology News




Diagnostics Free Full Text Mammographic Breast Density And Urbanization Interactions With Bmi Environmental Lifestyle And Other Patient Factors Html




Imaging Breast Density Established And Emerging Modalities Sciencedirect




Imaging Management Of Breast Density A Controversial Risk Factor For Breast Cancer Oncology Nurse Advisor




Breast Cancer Seattle Cancer Care Alliance




Breast Density Bi Rads Classification Moose And Doc




Added Value Of Contrast Enhanced Spectral Mammography In Symptomatic Patients With Dense Breasts Springerlink




Jcm Free Full Text Breast Density Notification An Australian Perspective Html




Imaging Breast Density Established And Emerging Modalities Sciencedirect




Mammographic Breast Density Effect On Imaging And Breast Cancer Risk In Journal Of The National Comprehensive Cancer Network Volume 8 Issue 10 10




Hormonal Effects On Breast Density Fibroglandular Tissue And Background Parenchymal Enhancement Radiographics




Prognostic Influence Of Preoperative Mammographic Breast Density In Operable Invasive Female Breast Cancer Scientific Reports




Scielo Brazil Ultrasound Findings Of The Physiological Changes And Most Common Breast Diseases During Pregnancy And Lactation Ultrasound Findings Of The Physiological Changes And Most Common Breast Diseases During Pregnancy




A Review Of Breast Density Implications And Breast Cancer Screening Clinical Breast Cancer




Your Patient Got A Dense Breast Notification With Her Mammogram Report What Are You Supposed To Do Christianacare News




Understanding Scattered Fibroglandular Breast Tissue




Cureus Mammographic Breast Density In Pakistani Women Factors Affecting It And Inter Observer Variability In Assessment




Breast Density Robert H Lurie Comprehensive Cancer Center Of Northwestern University Feinberg School Of Medicine Northwestern University




Dense Breasts Breast Cancer Risk And Screening Choices In 19 Healthmanagement Org




Cancers Free Full Text Current Landscape Of Breast Cancer Imaging And Potential Quantitative Imaging Markers Of Response In Er Positive Breast Cancers Treated With Neoadjuvant Therapy Html



Obgyn Mcw Edu Wp Content Uploads 4 Breast Cancer Screening Purdy 2 Notes To A Page Pdf




An Overview Of Mammographic Density And Its Association With Breast Cancer Springerlink



Supplemental Screening For Patients At Intermediate And High Risk For Breast Cancer Radiology Key




Breast Mri Standard Terminologies And Reporting Oncohema Key




Health Care Provider Faqs Densebreast Info Inc




Hormonal Effects On Breast Density Fibroglandular Tissue And Background Parenchymal Enhancement Radiographics




Rad Tech Ce Asrt Arrt Ce Category A Credits Radiology Continuing Education




Homogeneously Dense Breast Tissue Radiology Case Radiopaedia Org




Ms10 07 Breast Evaluation Journal Of Thoracic Oncology




Rsna Van Colen Breast Density



3




Dense Breasts Answers To Commonly Asked Questions National Cancer Institute



Www Edusymp Com Esi Cbic16 1 Cbic16 Syllabus Pdf



Experts Say Fda Dense Breast Proposal Is An Important Step Forward




Epos




Breast Density What Is It And What Does It Mean For Me Breast360 Org The American Society Of Breast Surgeons Foundation




Density Of Breast An Independent Risk Factor For Developing Breast Cancer A Prospective Study At Two Premium Breast Centers Lo Cancer Medicine Wiley Online Library




The Relationship Between Breast Density Age And Mammographic Lesion Type Among Chinese Breast Cancer Patients From A Large Clinical Dataset Bmc Medical Imaging Full Text




What Does It Mean To Have Dense Breasts Moffitt



1




View Image




Does Contrast Enhanced Mammography Have An Impact On The Detection Of Cancer In Patients With Risk Of Developing Breast Cancer Springerlink




Fibroglandular Densities Mammographic Breast Density Itn



Breast Density Breastlink




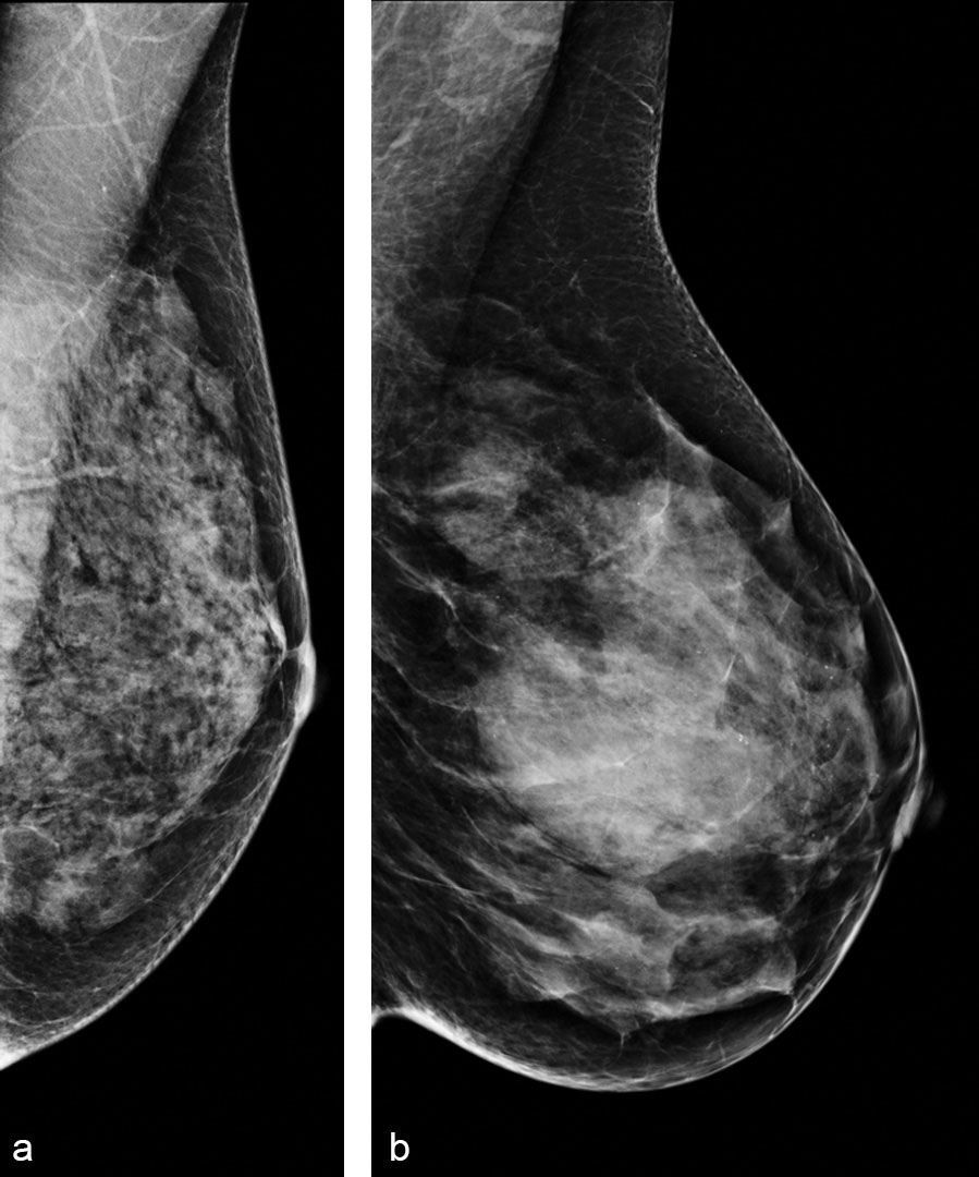
Mammogram Imaging Of The Left Breast A The Right Craniocaudal View Download Scientific Diagram




Usg Ultrasonography Ultrasonography 22 5919 22 5943 Korean Society Of Ultrasound In Medicine 10 Usg Usg Pictorial Essay Practical And Illustrated Summary Of Updated Bi Rads For Ultrasonography Http Orcid Org 0000 0003




Cureus Mammographic Breast Density In Pakistani Women Factors Affecting It And Inter Observer Variability In Assessment




Multimodality Imaging Of Breast Parenchymal Density And Correlation With Risk Assessment Springerlink




Density Primer Densebreast Info Inc




Breast Density And Mammogram Reports Dense Breast Tissue




Background Parenchymal Enhancement On Contrast Enhanced Spectral Mammography Influence Of Age Breast Density Menstruation Status And Menstrual Cycle Timing Scientific Reports




Mammographic Density And Screening Breast Health And Awareness Breast Cancer Network Australia




The Ins And Outs Of Imaging Dense Breasts




The Radiology Assistant Bi Rads For Mammography And Ultrasound 13




Role Of Sonography As An Adjunct To Mammography In Women With Dense Breasts El Kholy Mr Mousa Wa Mishmisha Nr Menoufia Med J




Mammographic Breast Density Measures A Parenchymal Patterns B Breast Download Scientific Diagram



What Breast Density Means To You Stacey Vitiello M D



What Breast Density Means To You Stacey Vitiello M D



Some Example Mammograms Showing Various Birads Density Classification Download Scientific Diagram




Rxumina Iaterion




Fibroglandular Density What Every Woman Should Know




Figure 1 From Dense Breasts A Review Of Reporting Legislation And Available Supplemental Screening Options Semantic Scholar



How To Decrease Breast Density To Reduce Breast Cancer Risk Mammalive Foundation



For Patients Michigan Breast Density Notification



1




Breast Density What Is It And What Does It Mean For Me Breast360 Org The American Society Of Breast Surgeons Foundation




Health Care Provider Faqs Densebreast Info Inc




Does Contrast Enhanced Mammography Have An Impact On The Detection Of Cancer In Patients With Risk Of Developing Breast Cancer Springerlink




The Relationship Of Breast Density In Mammography And Magnetic Resonance Imaging In High Risk Women And Women With Breast Cancer Clinical Imaging




Role Of Sonography As An Adjunct To Mammography In Women With Dense Breasts El Kholy Mr Mousa Wa Mishmisha Nr Menoufia Med J




Breast Density A Discussion Being Dense




3d Abus Santa Fe Imaging




Vision Mammographic Breast Density And Its Clinical Applications Ng 15 Medical Physics Wiley Online Library




The Radiology Assistant Bi Rads For Mammography And Ultrasound 13




Fibroglandular Densities Mammographic Breast Density Itn



Q Tbn And9gcqizmhrysxsfzxsxbqqrlzvsnosqgv2cvosz8nldga9wgnbsd 1 Usqp Cau
0 件のコメント:
コメントを投稿